Početna
Usluge
O nama
Naš tim
Stručno usavršavanje
Primeri iz prakse
Kontakt
Početna
Usluge
O nama
Naš tim
Stručno usavršavanje
Primeri iz prakse
Kontakt
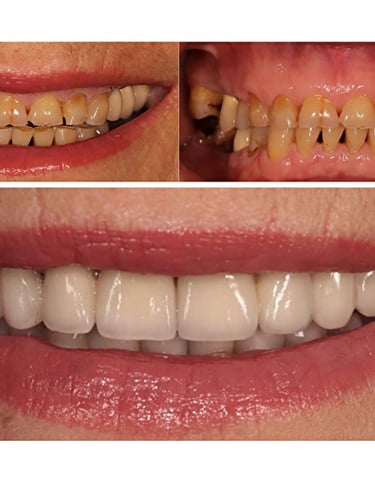
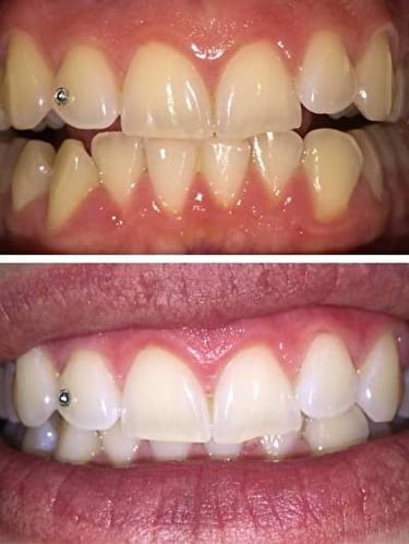
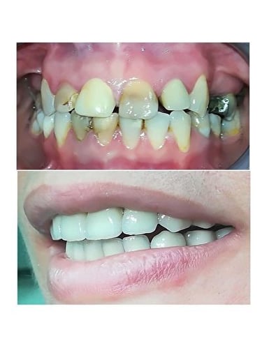
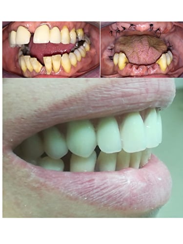
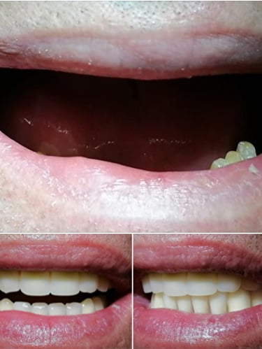
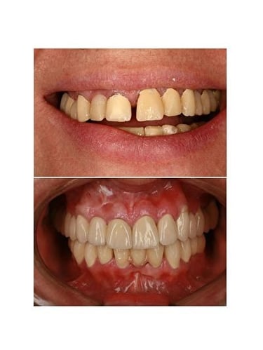
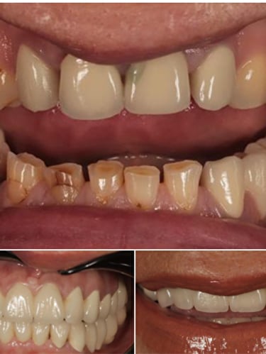
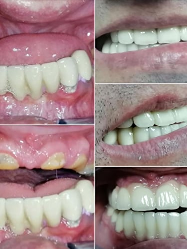
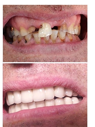
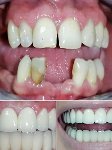
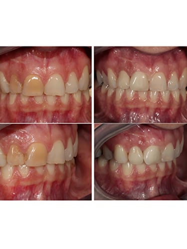
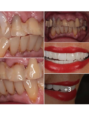
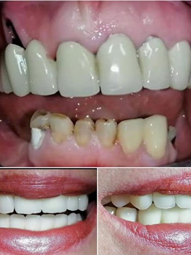
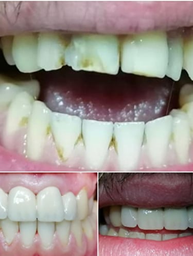
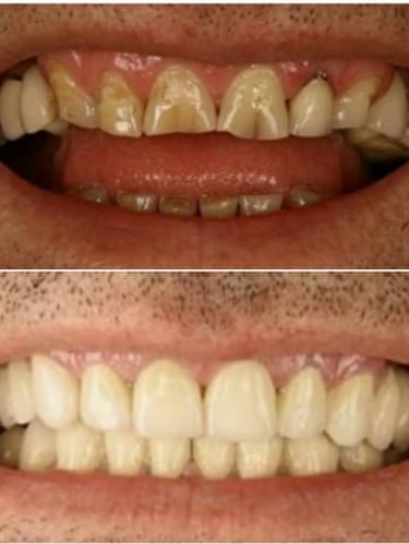
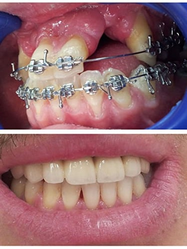
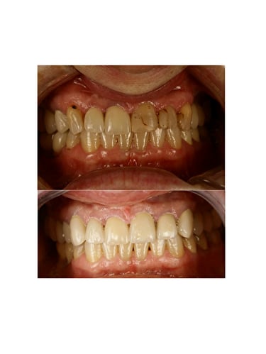
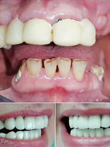
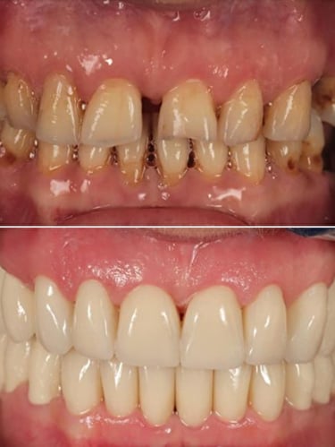
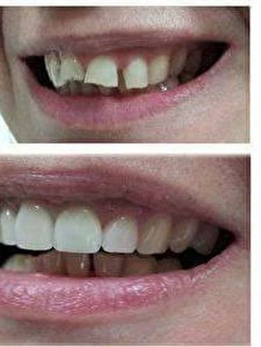
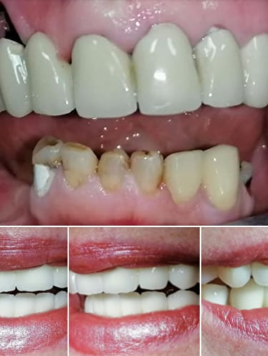
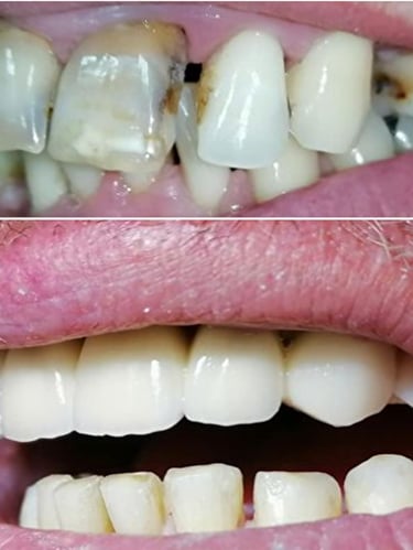
Pre / posle